Geekzilla Autos Newest Developments and Full guidance
Geekzilla Autos, the world of innovation and passion in the automobile world. Whether you have been in need of a new technology and sleek designs with a stunning packaging in one package, you have found it. When we get down to the most recent activities of Geekzilla Autos, you will find out why this brand…
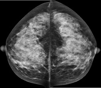
How 3D Mammography and Breast MRI Detect Early Breast Cancer
Breast cancer is one of the most common cancers affecting women worldwide, and early detection is one of the most effective ways to improve survival rates. Throughout the years, medical imaging technology has advanced, making diagnosis more accurate and less invasive. Among these advances, 3D mammography and breast MRI developed as powerful tools for early…
Everything You Should Need to Learn about Radiomics
Radiomics is developing imaging by turning CT, MRI, and pet scans into measurable data using. It has emerged artificial intelligence (AI) and medicine learning to hidden data from medical scans. Also provide window inside the human body without any invasive procedure. What is Radiomics? Radiomics is the science of images into data. It studies patterns,…
Overview of Medical Imaging technique
Introduction Medical imaging technique have transformed the way healthcare experts diagnose and treat medical conditions. Over the years, advancements in imaging technology have significantly improved the speed, accuracy, and safety methods, allowing early diagnosis, effective treatment planning, and continuous monitoring of patient health. These techniques provide a non-invasive or slightly invasive method to viewing internal…
Zoonotic Disease Transmission Through the Aquatic Food Chain Introduction
Substantially, global health anxiety is a communicable source between animals and humans that are zoonotic disease. With several environmental organizations specifically in the context of rising human contact. The transmission of zoonotic disease is often under appreciated through aquatic food chains. Aquatic environments such as oceans, lakes, and rivers. The synthetic water systems are ecosystems…
Tyson Fury vs Oleksandr Usyk: Rematch everyone want to know about
Tyson Fury vs Oleksandr Usyk Match conduct The rematch between Tyson Fury vs Oleksandr Usyk on December 21, 2024, at the Kingdom Arena in Riyadh, Saudi Arabia, was a defining moment in boxing history. This bout, following their initial encounter in May 2024, showcased the pinnacle of heavyweight boxing, with Usyk once again emerging victorious,…
MyStuff 2.0: A Comprehensive Personal Organization Tool
MyStuff 2.0: Is It Truly The Ultimate Personal Organizer? In an age where digital clutter is just as overwhelming as physical disarray, having an efficient personal organization tool is essential. MyStuff 2.0 is a robust application designed to help individuals manage their belongings, digital assets, and other essential information in one centralized location. Whether you…
sol de janeiro: The Brazil-Inspired Skin and Body Care brand Review
Introduction to Sol de Janeiro and its origins in Brazil Are you ready to elevate your beauty routine with a splash of Brazilian flair? Meet Sol de Janeiro, the vibrant skin and body care brand that’s taking the world by storm. Inspired by the sun-soaked beaches and rich culture of Brazil, this brand brings a…
Understanding the Doge Calculator: Your Ultimate Guide to Crypto Conversion
Overview: Welcome to the wild and exciting world of cryptocurrency, where memes become money and digital currencies can soar higher than you ever imagined! If you’ve heard of Dogecoin—a quirky coin born from an internet sensation featuring a Shiba Inu—you’re not alone. However, understanding how to navigate its value in relation to traditional currencies can…
Mimi Keene’s Journey in Acting & Her Role in Bridgerton
Mimi Keene: The Rising Star You Need to Know From capturing hearts in Netflix’s hit series Bridgerton to impressing audiences with her dynamic acting style, Mimi Keene’s is quickly becoming a household name. With a blend of talent, versatility, and on-screen presence, she has cemented her place as one of the most exciting young actresses…
